'BJ 유혜디 미스틱 임신 수술 폭로' 사람들 가장 분노한 남자 행동 (초음파, 카톡 내역, 블로그)

아프리카 BJ 겸 유튜버로 활동하고 있는 유혜디가 임신 후 낙태를 했다고 본인 블로그에 고백한 가운데, 거론된 M이란 남성이 BJ 미스틱 진성준이라는 주장이 제기됐습니다. 유혜디는 블로그에 교제하던 남친 M과 관계를 맺었고, 남성이 의도적으로 임신을 시도했다는 폭로했는데요. 임신 후 중절 수술로 이어지는 과정에서도 유혜디 남친은 다소 비상식적인 행동을 일삼았다고 합니다. 그 중에서도 팬들은 M이 소름끼치는 행동을 보였다고 분노하며, 남성 정체가 미스틱이라는 신상까지 공개했습니다.

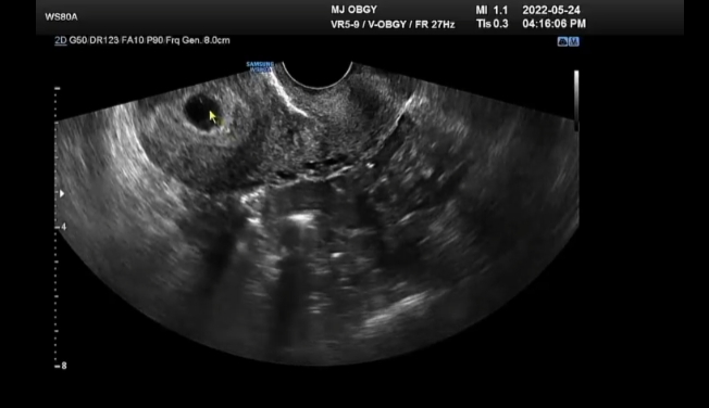
유튜버 유혜디 블로그에 BJ 남성과 교제 후 임신 및 낙태 과정 처음으로 고백
유혜디는 7일 밤 본인의 네이버 블로그에 '죄송합니다'라는 제목의 장문의 글을 작성했습니다. 그러면서 자신이 임신한 과정에서 산부인과를 다니며 찍은 초음파 사진, 임신중절술 동의서 등 사진까지 공개했는데요. 동의서 사인란에 '진성준'이라는 이름이 적혀있는 것까지 유혜디가 공개하며 해당 남성이 미스틱이라는 것에 무게가 실렸습니다.
심지어 아이의 화장증명서까지 카톡으로 보냈는데 카톡을 받은 남성의 이름 역시 '성준'으로 표시된 캡쳐본을 공개했습니다. 화장증명서에는 유혜디 본명 '송아리'가 적혀있었고, 장소는 전라도였습니다.

유혜디 M이란 남성과 2년 넘게 교제..사건은 작년 4월부터
유혜디는 블로그 글을 통해 M이란 남성과 교제를 하고 관계를 맺었다고 고백했습니다. 그 과정에서 M이란 남성이 허락하지 않은 사정을 했고 이로 인해 아이가 생겼다고 하는데요.
유혜디는 "지금부터 하는 얘기는 모두 사실만을 말할 것을 약속드리며 절대 과장하거나 지어낸 이야기가 없다"라며 당시 M이란 남성과 주고받은 카카오톡 전체를 공개할 수 있다고 말했습니다.

유혜디에 따르면 유혜디와 M이란 남성 BJ는 2021년 12월부터 2023년 7월까지 연인 사이였다고 합니다. M이란 남성은 결혼 후 이혼을 한 돌싱이며 아이도 낳은 기혼 남성 출신으로 알려졌습니다. M이란 남성은 2021년 9월 이혼한 것으로 알려졌습니다.
유혜디는 해당 사건이 2022년 4월부터 시작됐다고 주장했습니다. 그는 "어느 날 M과 관계를 하다가 저에게 말도 하지 않고 질 안에 일을 저질렀다"라고 말하며 "'아이가 생기면 어쩌냐'는 말에 '일어나지도 않은 얘기를 왜 하느냐'고 짜증을 냈다"라고 주장했습니다.

유혜디 측 M이 지속적으로 임신 중절 원했다 주장..팬들 소름끼친 남성 행동
하지만 5월경부터 유혜디는 몸이 안 좋아지기 시작했고, 혹시나 하는 마음에 임신테스트기를 해 2줄이 나왔다고 합니다. 즉시 M에게 이 사실을 알렸고, 아이가 생긴 문제에 대해 긴 시간 이야기를 해야할 것 같아 유혜디 측이 M에게 "며칠 뒤에 남녀 BJ 1박2일 여행 일정을 취소해달라"라고 요청했지만 남성은 이를 거절했다고 합니다.
이후에도 유혜디의 주장에 따르면 M이란 남성은 아이가 뱃 속에 있는 유혜디를 임신하지 않은 여성처럼 대하며, 아예 아이에 관심을 주지 않고 지우기를 바라는 모습을 보였다고 하는데요.
유혜디의 블로그 글 중 인터넷 방송 시청자들은 크게 분노한 부분은 M이란 남성이 유혜디와 아버지를 만난 후 보인 행동입니다. 당시 임신 13주차가 지나간 시점이라 수술을 해도 아이뿐만 아니라 산모도 매우 위험할 수 있는 상황이었기에 유혜디 측은 아이를 낳자고 회유했고, M도 이를 받아들였다고 하는데요.

유혜디의 배가 불러오자 M은 "배가 나오니 무섭다. 네가 낳기로 결정했으니 버텨라"라고 책임을 지지 않으려는 소름끼치는 태도를 보였다고 합니다. 심지어 어느날은 화장실에서 이유도 없이 대뜸 통곡하며 엉엉 울었는데, 유혜디가 "네가 원하는대로 지우게 병원을 가자"는 식으로 이야기하자 울음을 2초 만에 멈췄다고 합니다.
다음날 M은 유혜디 연락을 받지 않았고 이후 유혜디의 임신 중절 수술 결정에 "내 탓을 하지 말라"라는 말을 남기고 게임 방송을 켜 아무런 죄책감도 없는 모습을 보였다고 합니다.
이에 대해 팬들은 "정신에 문제있는 사람이나 할 행동 같다" "진짜 저 주장이 사실이라면 남자는 너무 소름끼치는 사람이다" "사람으로서 존중이란 게 없는 것 같다"라고 분노했습니다.

임신한 유혜디에 책임 전가 폭로까지..남성의 어머니 역시 중절 회유
수술을 할 병원을 알아보는 것도 유혜디가 '독박'을 써야했고, 시간이 지나 아이에 대한 애정이 생긴 유혜디가 "돈을 내가 벌테니 아이를 낳고 길러보자"라고 말했음에도 M이란 남성은 아예 책임질 생각이 없어보였다고 합니다.
이후 유혜디가 M의 어머니를 만났을 때도 M의 엄마는 "이혼 마무리도 안됐다" "우리 아들 왜 좋아하느냐" "네가 내 딸이었으면 손 붙잡고 바로 병원 갔겠다"라는 태도를 보였습니다. 모전자전이란 말이 괜히 나온 것이 아니었는데요.
결국 전혀 책임지지 않으려는 남성 가족의 태도와 벼랑 끝에 몰렸다는 심리적 압박과 스트레스로 인해 유혜디는 뒤늦게라도 아이와 결별하기로 해, 병원을 찾아가 직접 수술을 받았습니다.

유혜디 아이 이별 결정 후 화장증명서 M에게 보낸 카톡까지 인증..거론된 BJ 미스틱 반응은?
이후 화장증명서를 전라도에 가서 했다고 카카오톡을 보내자 남성은 "무슨 전라도까지"라는 답변을 보내며 일말의 미안한 감정도 없는 반응을 보였다고 하는데요.
유혜디는 "그 사건을 겪으며 지금까지도 방송을 제대로 못하고 작년 임신 시점부터 모든 일이 멈춰있다. 주제가 넘지만 그 사람을 택한 것을 후회하고 있다. 평생 속죄하며 살겠다"라고 말했습니다.
이어 "말하기 쉽지 않은 이야기고 두려운 것도 사실이다. 방송인이란 직업을 가지며 사실이 아닌 일로 구설수가 있었고 정신적으로 힘들어 신중하게 생각하다 이건 아닌 것 같아 팬들에게 고백하는 것이다"라고 말하며 사과했습니다.

유혜디의 임신 및 남친과의 문제 고백이 올라오자 해당 남성이 게임 BJ 미스틱이라는 누리꾼들의 주장이 올라오고 있습니다. 유혜디가 공개한 자료에 진성준이라는 이름이 있고, 이혼과 아들이 있는 남성과 M이라는 이니셜 등으로 정황상 미스틱이라는 주장이 나오고 있는 것인데요. 하지만 미스틱 측이 유혜디의 주장과 방송 시청자들의 의혹 제기에 대해 공식적인 입장을 밝히지 않았기 때문에 해당 남성이 미스틱이라 단정짓기에는 무리가 있다는 반응도 많습니다.

미스틱 진성준은 유혜디 사건에 대해 "유혜디가 저한테 할 말이 있나봐요. 그래서 한번 물어보세요"라고 생방송 중 시청자들에게 말하기도 했습니다.
- 바로가기2
- 바로가기
